小赛看看dicom viewer官方最新版是能够在电脑上使用的dicom医学影像软件,能够帮助医学工作者进行阅片,兼容各种dicom格式的影像文件,拖入即可进行浏览,操作便捷易上手,还能生成视频,支持进行融合。
官方介绍
医学影像,用小赛看看。小赛看看DICOM Viewer是一款免费的医学影像DICOM浏览器。支持PET-CT图像融合,MPR浏览,SUV测量,DICOM文件匿名化,DICOM Tag查看等功能。
小赛看看dicom官方电脑版特色
轻轻一拖,呈现专业影像
将DICOM文件拖入软件,即可打开影像
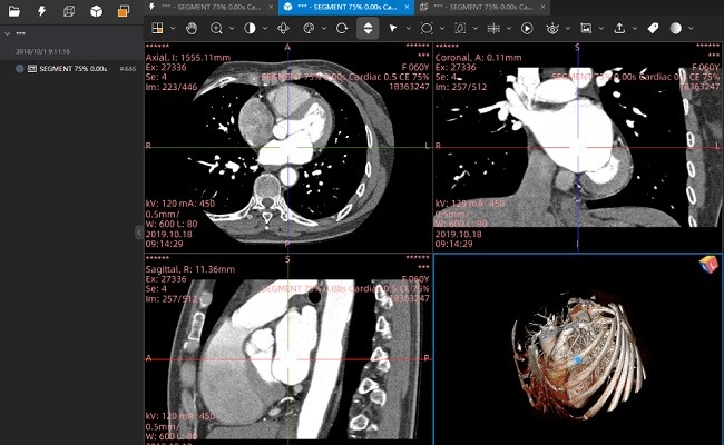
支持符合DICOM标准的医学影像,包括CT、MR、DX、XA、US、PT、NM、SR、SC等
一键生成视频,轻松分享
一键将屏幕所见生成mp4视频或者png图片,方便您分享关键发现
强大的生产力工具
提供丰富的图像浏览功能,包括MPR、3D浏览、电影播放、伪彩、ROI测量、 HU值和SUV值测量、匿名化等
专业的核医学图像融合功能,支持SPECT/CT、PET/CT、PET/MR融合
让工作走出办公室
可以在Windows、macOS电脑上自由使用,随时随地查看影像
小赛看看电脑版支持的功能
支持DICOM影像的二维显示
支持DICOM影像的MPR重建
支持PET-CT影像的融合显示
支持打开X-Ray,CT,MRI, PET-CT及SPECT图像
支持查看DICOM标签信息
支持调整显示布局、调节窗宽窗位、旋转、翻转、缩放、平移、线段测量、伪彩、MIP
支持测量SUV值,CT值
支持DICOM文件匿名化
小赛看看如何使用教程
1、在本站下载解压安装并打开小赛看看
2、点击文件夹按钮,打开需要DICOM文件(后缀名为.dcm的影像学文件)找到文件夹后点击选择文件夹按钮。
3、然后点击所要观察的DICOM文件。
4、看到影像学文件
5、点击这个按键可以3D进行浏览。
更新日志
v3.7.2.11397版本
1.支持ROI复制
2.数据列表显示缩略图

魔兽争霸3冰封王座中文版
Bandizip便携破解版
悟饭游戏厅电脑版
同花顺苹果电脑版
trafficmonitor电脑版
altair psim 2025仿真软件









造梦西游之黎尤浩劫篇唐三藏通关攻略
造梦西游之黎尤浩劫篇灵宠大全
未定事件簿新春活动有哪些
造梦西游之黎尤浩劫篇怎么玩
斗破苍穹手游摘星老鬼怎么样
永劫无间方诺攻略
斗破苍穹手游紫妍怎么样
方舟生存进化棘背龙吃什么驯服
吉星派对局内任务怎么完成
未定事件簿故城长燃的薪火怎么玩
绝区零2.6版本内容介绍
潮汐守望者武圣关羽怎么样
全民祖玛公测时间什么时候
凡人灵境游公测时间介绍
火影忍者新春主题活动有哪些
第五人格春节主题1V4限时玩法介绍
百战群英手游征战四方怎么玩
星绘友晴天编辑器怎么用