微影医生老版本是一款专为医护人员设计的安卓医疗影像工具软件,其核心功能围绕医学影像的快速调阅与分析展开。通过连接云服务器,医生可随时随地安全访问患者的检查报告、PDF文档、电子胶片及三维影像数据,突破传统诊疗场景的时间与空间限制。软件支持图文、语音、视频问诊服务,并内置患者管理模块,可对预约挂号、咨询及报到的患者进行标记分组、诊后随访及病情跟踪。其界面采用全中文可视化设计,操作手势符合移动设备使用习惯,配合医疗设备可实现实时在线诊断,帮助医生更精准地剖析病情、制定治疗方案。作为一款聚焦影像学的移动医疗工具,老版本在提升诊断效率、优化医患沟通方面具有显著优势。
使用须知
1. 系统兼容性:老版本需运行于Android 4.0及以上系统,部分功能如CT三维处理需硬件支持,建议使用中高配设备以保障流畅性。
2. 数据安全:用户需通过手机号注册并完成医师资格认证(上传身份证、医师资格证、执业证及工作证),所有数据传输均采用加密技术,但需定期更新软件以修复潜在漏洞。
3. 功能限制:老版本不支持缓存清理,长期使用可能导致存储占用过大,需手动删除重装;部分iOS用户反馈验证码显示异常,安卓端无此问题。
4. 操作规范:医生分享患者影像信息时需遵守《个人信息保护法》,仅限诊疗目的使用,避免数据泄露风险。
软件创新
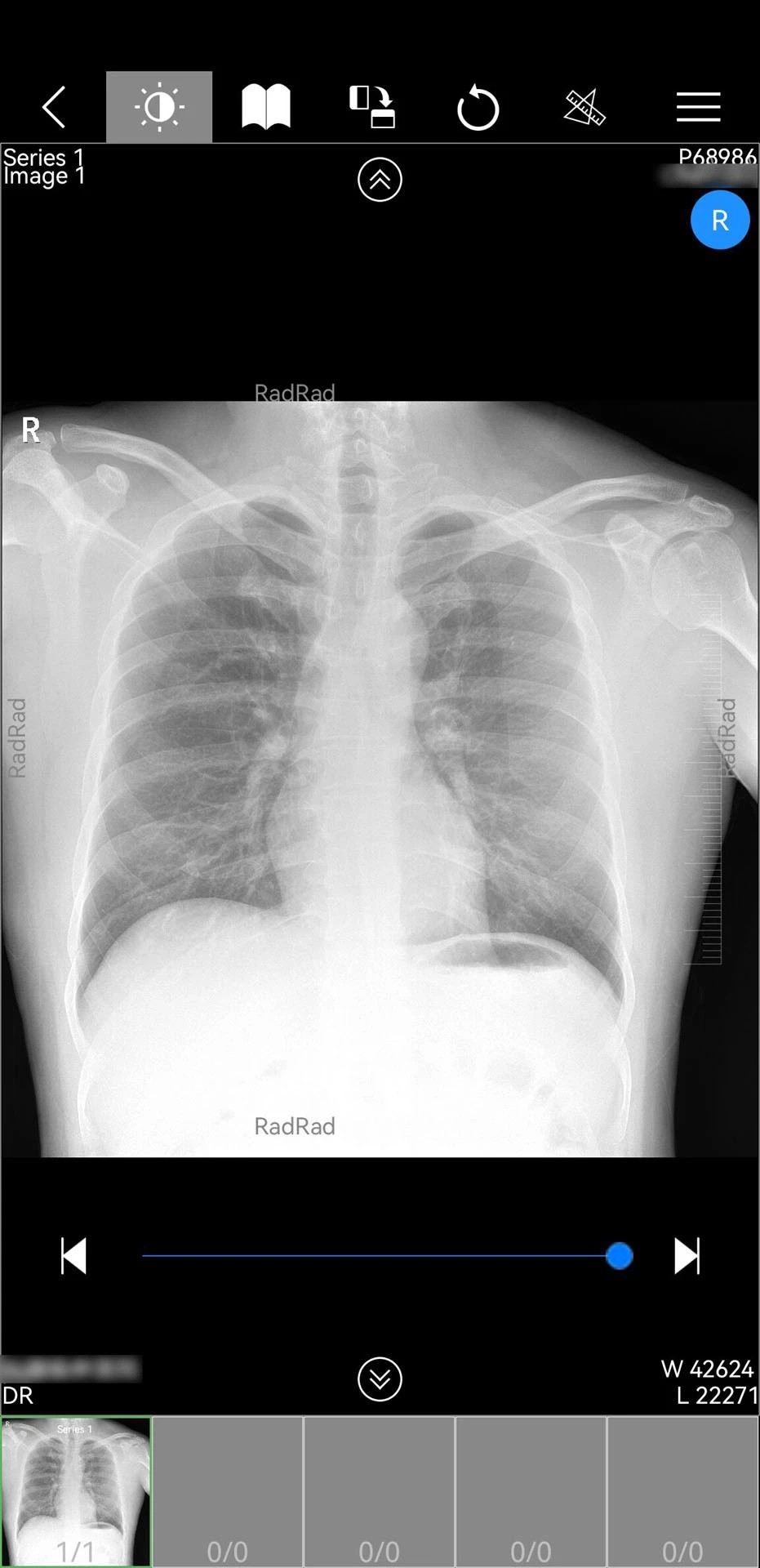
1. 云影像协同:首创移动端云调阅医学影像功能,医生可实时查看DICOM格式影像,支持缩放、旋转及窗宽窗位调整,诊断精准度媲美PC端。
2. 跨院会诊系统:通过“医生协作”模块实现同院或跨院转诊,支持影像数据一键共享,会诊记录自动归档至患者电子病历。
3. 智能辅助诊断:集成AI影像分析算法,可自动标记肺结节、骨折等异常区域,生成结构化报告供医生参考,缩短诊断时间30%以上。
4. 多模态问诊:支持图文、语音、视频多种问诊方式,患者可上传影像照片或描述症状,医生可结合影像数据远程开具处方。
5. 患者管理闭环:从预约挂号到诊后随访形成完整闭环,医生可设置随访提醒、记录病情变化,并通过健康知识库向患者推送个性化康复建议。
APP特性
1. 极简操作:采用卡片式界面设计,核心功能(影像调阅、问诊、患者管理)入口清晰,新手医生5分钟即可上手。
2. 高效协作:内置“医脉”社交模块,支持院内同事即时通讯、病例讨论,提升团队协作效率。
3. 隐私保护:通过ISO 27001信息安全管理体系认证,患者数据存储于私有云服务器,医生调阅需二次授权,杜绝信息滥用。
小编测评
微影医生老版本作为移动医疗影像领域的先驱产品,凭借其强大的云影像调阅能力与医患协同功能,在基层医疗场景中具有不可替代性。尽管存在缓存管理缺陷及部分iOS兼容性问题,但其核心功能(如CT三维处理、AI辅助诊断)仍能满足临床需求,尤其适合影像科医生及全科医生使用。对于追求高效诊疗流程的医疗机构而言,老版本可作为数字化转型的过渡工具,但长期使用建议升级至最新版以获得更完善的数据安全保障与功能体验。

茱元游戏
飞趣短视频
未来名片
倍速课堂人教版
AI作曲写歌
菜鸡游戏盒








造梦西游之黎尤浩劫篇唐三藏通关攻略
造梦西游之黎尤浩劫篇灵宠大全
未定事件簿新春活动有哪些
造梦西游之黎尤浩劫篇怎么玩
斗破苍穹手游摘星老鬼怎么样
永劫无间方诺攻略
斗破苍穹手游紫妍怎么样
方舟生存进化棘背龙吃什么驯服
吉星派对局内任务怎么完成
未定事件簿故城长燃的薪火怎么玩
绝区零2.6版本内容介绍
潮汐守望者武圣关羽怎么样
全民祖玛公测时间什么时候
凡人灵境游公测时间介绍
火影忍者新春主题活动有哪些
第五人格春节主题1V4限时玩法介绍
百战群英手游征战四方怎么玩
星绘友晴天编辑器怎么用